Mulher infértil engravida por meio de fertilização com “três pais”

de Merelyn Cerqueira 0

Uma mulher ucraniana de 34 anos, incapaz de conceber, tentava ter um filho há mais de uma década. No entanto, por meio de uma técnica de fertilização in vitro tida como controversa, cientistas ajudaram-na a dar à luz uma menina.

 

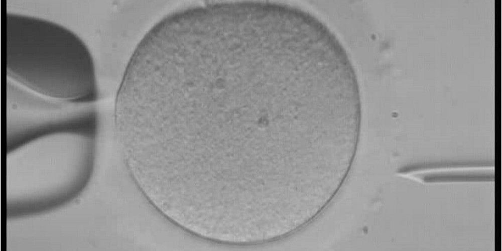
Seu óvulo foi fertilizado com espermatozoide de seu parceiro e os genes combinados foram transferidos para um óvulo doado. Então, no dia 5 de janeiro, ela concebeu o que se acredita ser o segundo bebê de “três pais”, de acordo com informações do jornal Daily Mail.

 

A técnica permitiu que a criança tivesse a mesma identidade genética dos pais, embora tenha ainda uma pequena quantidade de DNA do terceiro doador – uma segunda mulher. A ucraniana já havia tentado engravidar pelo método de fertilização convencional, mas em nenhuma das quatro ocasiões ele funcionou.

 

De acordo com ValeryZukin, que liderou o trabalho em uma clínica de Kiev, testes iniciais revelaram que o bebê está “completamente saudável”. Segundo ela, o tratamento pode ser particularmente útil para mulheres cujos óvulos param de crescer. Zukin revelou ainda que uma segunda mulher, de 29 anos, passou pelo mesmo procedimento e dará à luz em março.

 

É como abrir uma nova era”, disse ao The Times. “Antes, só podíamos aumentar a seleção de embriões. Mas esse momento abre a possibilidade de os aumentarmos”. Para o procedimento, os médicos colheram os óvulos com mitocôndrias danificadas da mãe, e de uma doadora saudável. Depois de amadurecidos, o núcleo da mãe foi substituído pelo da doadora. Tal ação permitiu que os genes dos pais fossem transportados, embora, e inevitavelmente, uma pequena quantidade de DNA da doadora também tenha sido utilizada no processo.

 

Enquanto acredita-se que seja a segunda vez que o método é aplicado– sendoque a primeira foi em um casal mexicano no ano passado– háa possibilidade de que pesquisadores na China também o tenham feito. Os críticos do procedimento argumentam que a técnica não é infalível e que um pequeno número de mitocôndrias defeituosas ainda pode ser transferido para criança. Eles também sugerem que problemas imprevistos podem ocorrer, uma vez que o método em si é usado para criar bebês humanos. Comentando sobre o caso, o professor Adam Balen, presidente da British FertilitySociety, disse ao Daily Mail que “algo assim precisa ser cuidadosamente pensado e tratado com cautela”.


[ Daily Mail ] [ Fotos: Reprodução / Daily Mail / Wikimedia ]

Jornal Ciência