No que diz respeito aos cânceres, um dos piores é um tipo de câncer cerebral chamado glioma ou glioblastoma, uma doença que tem uma taxa de sobrevivência 5%, e nenhum método confiável para a detecção precoce.
Um estudo que reuniu dados genéticos de dezenas de milhares de pessoas poderia mudar isso, encontrando mais de uma dúzia de novas mutações para os médicos fazerem um esforço e identificarem quem corre o risco de desenvolver a doença.
Os resultados poderiam resultar num aumento das chances de um diagnóstico precoce, e salvar vidas. Junto com pesquisadores dos Estados Unidos e da Europa, cientistas do Institute of Cancer Research no Reino Unido realizaram dois estudos sobre o genoma humano em um esforço para detectar diferenças que poderiam resultar em câncer de células cerebrais da glia.
Nosso sistema nervoso central depende de neurônios para fazer seu trabalho de “pensamento”, mas eles estão longe da única célula no local. Por exemplo, as células gliais fornecem suporte para os neurônios isolando-os, mantendo-os no lugar e ajudando-os a ter acesso aos nutrientes.
Essas células do cérebro podem levá-los a crescer fora de controle, fazendo com que se desenvolvam tumores cancerígenos. O glioma pode ser dividido em categorias, dependendo do tipo de célula glial em que começou.
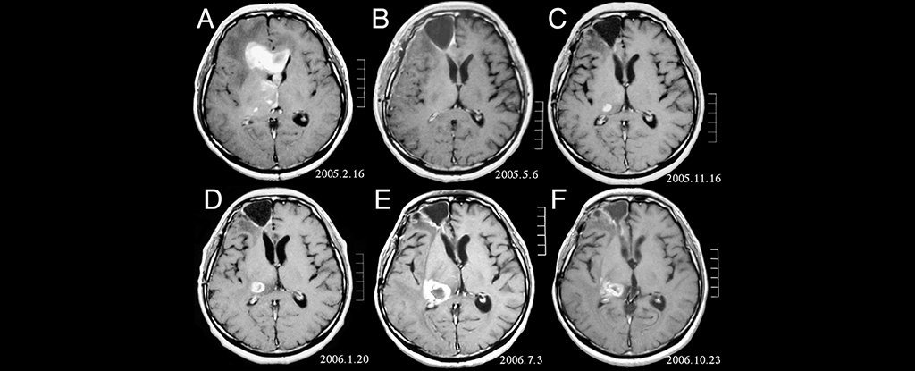
Glioblastoma multiforme (GBM), por exemplo, é uma forma comum de câncer cerebral que começa como um tipo de célula glial chamada astrócito.
Tumores que crescem chegam a ser glioblastomas são particularmente agressivos, e matam cerca de 95% dos pacientes dentro de cinco anos. O GBM se desenvolve em cerca de 3 em cada 100.000 pessoas, principalmente naquelas com mais de 60 anos, e mata cerca 13.000 pessoas nos EUA e 5.000 no Reino Unido a cada ano.
Enquanto muitos pesquisadores têm procurado maneiras novas de tratar os gliomas, a detecção precoce tem sido frequentemente mais acidental do que intencional.
Um estudo da Universidade Estadual de Ohio realizado em 2015 identificou interações entre um par de proteínas e o recém-desenvolvido tumor que poderia levar a um teste que permite diagnosticar um tumor até cinco anos antes de sintomas aparecerem.
Ao identificar os genes que aumentam o risco de desenvolver glioma mais tarde, os pesquisadores poderiam produzir um programa de diagnóstico e tratamento rápido que possa prevenir tumores de crescer.
Este estudo recente não parou no exame do genoma, ele também analisou mais de 30.000 pessoas incluídas em uma série de estudos anteriores sobre GBM e câncer não GBM, produzindo o maior estudo em pesquisa de câncer cerebral.
A pesquisa comparou 12.496 casos de glioma com 18.190 pessoas que não tinham o câncer, encontrando 13 novos locais no genoma que, se alterado, poderia levar ao glioma. “As mudanças na forma como pensamos sobre glioma poderia ser bastante fundamental. Assim, por exemplo, o que nós pensamos de como dois subtipos relacionados da doença revelam ter causas completamente diferentes genéticas que podem exigir diferentes abordagens de tratamento”, disse Richard Houlston do Institute of Cancer Research.
No total, os pesquisadores têm agora fortes evidências de 26 locais no genoma que aumentam individualmente o risco de desenvolver uma forma de glioma. Isso pode não parecer muito, mas quando as probabilidades são empilhadas contra aqueles com um tumor cerebral metastático, cada pista pode fazer a diferença entre a vida e a morte.
“Entender a genética do glioma com tanto detalhe nos permite começar a pensar sobre formas de identificar as pessoas com elevado risco hereditário, e abrirá uma busca por novos tratamentos que exploram o nosso novo conhecimento da biologia da doença”, disse Houlston.
A combinação de estudos anteriores para aumentar o banco de dados é uma maneira útil de detectar pequenas diferenças que de outra forma foram perdidas.
Fonte: Science Alert / Nature Foto: Reprodução / Science Alert