Você já foi ao médico por que tinha uma espinha de peixe presa em seu globo ocular?
Ou, já foi levado às pressas para emergência após aspirar acidentalmente seu próprio brinco? Se você respondeu “não” a essas duas perguntas, considere-se sortudo. Esses incidentes fazem parte de uma extensa lista de casos bizarros relatados por médicos que, vez ou outra, são publicados para ajudar em investigações científicas. Dentro de inúmeros casos bizarros, a Live Science separou 27 deles, que você confere logo abaixo.
1 – Tênia de 6 metros
Você certamente já conhece todos os perigos que envolvem o consumo de carne crua, e se não, o que você basicamente deve compreender é que isso deve ser evitado. No entanto, um homem na China aprendeu essa lição do modo mais difícil. Ele descobriu que, em razão de seus hábitos alimentares, tinha uma tênia de 6 metros de comprimento vivendo dentro de seu organismo há pelo menos dois anos, de acordo com um caso reportado pelo New England Journal of Medicine em janeiro de 2016.

Queixando-se de dores de estômago, crises de vômito, perda de apetite e peso, seus médicos foram capazes de identificar rapidamente a causa dos sintomas. O paciente teria levado consigo uma evidência que havia encontrado em suas fezes: um fragmento do parasita. Depois de ser tratado com antibióticos, que ajudaram a eliminar a tênia em questão de horas, os sintomas desapareceram em um período de três meses.
2 – Bexiga calcificada por parasitas
Pior do que uma infecção parasitária só uma infecção parasitária que causa a calcificação da bexiga. Este foi o caso de um homem de 43 anos, do Qatar, descrito em fevereiro deste ano pelo New England Journal of Medicine. Ele relatou que experimentava sangramento e dor ao urinar. Foi então que os médicos o diagnosticaram com esquistossomose, uma infecção causada por Schistosoma, transmitida por caracóis de água doce.

A infecção estava próxima à bexiga, e seu organismo, como resposta imune ao ataque, calcificou a região. Embora esse tipo de reação não seja raro em casos de esquistossomose, os médicos ficaram perplexos que a bexiga inteira estava envolvida em cálcio, uma vez que a acumulação dele no corpo leva anos. Os médicos suspeitaram que o homem foi infectado ainda criança e viveu com os parasitas por pelo menos 30 anos antes de começar o tratamento.
3 – Peixe nos olhos
Em um caso descrito em setembro de 2015 pelo New England Journal of Medicine, médicos relataram que um turista de 52 anos, que se banhava nas águas do Mar Vermelho, acabou colidindo com um cardume. Não muito tempo após o incidente, o homem teria desenvolvido um inchaço em uma das pálpebras que não melhorava.

Após visitar um médico, ele descobriu que tinha uma inflamação chamada granuloma, e precisaria se submeter a uma cirurgia para corrigir o problema. No entanto, durante a operação, o granuloma não foi a única coisa encontrada em seu olho. O fato é que ele também tinha “duas estruturas tubulares” presas ali.
A fim de descobrir a origem dos espécimes, dois biólogos foram chamados para examiná-los. Eles descobriram se tratar de dois pequenos peixes, de ordem Hemiramphidae, que costumam viver em regiões costeiras. Os ossos dos peixes tinham imobilizado os músculos que controlavam a pálpebra do homem, apesar disso, ele se recuperou plenamente após a cirurgia.
4 – Convulsões por Sudoku
Neste relato, um jovem na Alemanha fazia tanto Sudoku (um jogo de lógica que pode ajudar a aguçar a memória), que começou a sofrer convulsões. Ele já era conhecido por ser um ávido praticante do jogo, porém, após sofrer um acidente de esqui, quando ficou preso sob uma avalanche de gelo até ser resgatado, passou a experimentar os eventos de convulsões.

Ele sofreu de uma condição conhecida como hipóxia, quando os tecidos corporais e do cérebro não recebem oxigênio suficiente. Isso fez com que desenvolvesse contrações musculares súbitas em torno da boca, enquanto falava, ou nas pernas, quando andava, bem como convulsões espontâneas no braço esquerdo. Após lhe prescreverem medicamentos antiepilépticos, os médicos acreditaram que os ataques estariam sob controle.
No entanto, algumas semanas depois, ele começou a apresentar o sintoma no braço esquerdo, mas somente quando resolvia Sudoku. Depois de um tempo, os médicos conseguiram chegar à raiz do problema, quando descobriram que o rapaz tinha uma intensa “imaginação tridimensional”, que era ativada sempre que começava o jogo estimulante.
A parte de seu cérebro que usava para pensar em coisas em 3D foi a mais afetada pelos 15 minutos que passou sem oxigênio enquanto estava enterrado sob a neve. Logo, quando sobrecarregada, a parte danificada causava os ataques de convulsões e, infelizmente, ele teve de desistir do jogo para se recuperar.
5 – Problemas de Pilates
Em 2015, uma mulher britânica que estava sofrendo com persistentes dores de cabeça descobriu que a razão do seu sofrimento era um vazamento de fluído cerebral provocado por exercícios que fazia durante aulas de Pilates.

Normalmente, é necessário um trauma muito grande para que o fluido cerebral – que fica entre o cérebro, medula espinhal e revestimentos exteriores – vaze. Esses traumas, na maioria das vezes envolvem acidentes de carros, tumores ou cirurgias que deram errado. No entanto, em algumas pessoas, o vazamento pode ocorrer espontaneamente quando muita pressão é colocada no crânio ou na medula espinhal, que, no caso da paciente, ocorreu em razão do Pilates.
Após um tratamento seguido de repouso, ela se recuperou, de acordo com o relatório do caso, publicado pelo Journal of Medical Case Reports.
6 – Dentes no cérebro
Não é totalmente incomum para um bebê de quatro meses possuir dentes, a menos que eles estejam alojados no cérebro. E esse foi exatamente o caso de um bebê de Maryland, EUA, de acordo com um relatório publicado em fevereiro de 2014 pelo New England Journal of Medicine.

Os médicos suspeitavam que algo poderia estar errado dentro do cérebro da criança quando sua cabeça começou a crescer mais do que o habitual para a idade. Então, após exames no cérebro, notaram uma espécie de tumor que parecia ter dentes normalmente encontrados na mandíbula superior. E, de fato, após uma cirurgia de remoção, eles verificaram que realmente eram dentes.
Enquanto não é de todo incomum que dentes apareçam em tumores, o tipo encontrado no bebê, um craniofaringioma, não era conhecido por hospedar tais adições estranhas.
7 – Overdose de energético
O que poderia causar um ataque cardíaco em uma pessoa saudável de 26 anos de idade? De acordo com um relato feito em fevereiro de 2015 na Case Reports in Emergency Medicine, uma overdose de energéticos. O caso conta que um homem no Texas teria dito aos médicos que costumava consumir regularmente de oito a dez bebidas energéticas carregadas de cafeína todos os dias antes de sofrer um ataque cardíaco. Ele também costumava fumar um maço de cigarros por dia há dois anos antes do incidente.
De acordo com os médicos, é possível que a quantidade excessiva de cafeína, bem como outras substâncias potencialmente nocivas presente em tais bebidas, possam ter reduzido o fluxo sanguíneo coronário do homem, causando a formação de um coágulo sanguíneo e, em última instância, tenha resultado em um ataque cardíaco. Além disso, o cigarro poderia ter levado à constrição da coronária, também contribuindo para o evento.
8 – Aspiração de brinco
De acordo com um relatório publicado pela revista BMJ Case Reports em abril de 2015, durante uma festa de Ano Novo, uma mulher australiana de 41 anos, aspirou acidentalmente um de seus brincos enquanto procurava uma bombinha para conter uma crise de asma. Sem que soubesse, um brinco que estava solto em sua bolsa acabou ficando preso na saída da bombinha, o que fez com que ela o aspirasse durante a aplicação do medicamento.

A ponta do brinco logo feriu a garganta mulher, fazendo com que tossisse sangue. No fim, ele ficou alojado no brônquio direito, uma das principais vias aéreas que liga a traqueia aos pulmões. Os médicos felizmente conseguiram remover o brinco e a paciente se recuperou rapidamente.
9 – Overdose de chá verde
O chá verde deveria fazer bem para saúde. Pesquisadores descobriram que ele possui compostos capazes de ajudar a suprimir o câncer de pulmão e melhorar algumas funções cerebrais. No entanto, assim como qualquer outra bebida, consumir muito dele não é recomendável, especialmente quando você não sabe qual mistura foi colocada dentro do sachê.

De acordo com um relatório publicado em outubro de 2015 pela BMJ Case Reports, uma menina de 16 anos, do Reino Unido, aprendeu essa lição da forma mais difícil. Após consumir cerca de três xícaras de chá verde por dia, durante três meses, começou a apresentar sinais de hepatite aguda ou inflamação no fígado.
Descobriu-se que ela teria comprado o chá online, após saber que ele poderia ajudar na perda de peso. A maioria dos ingredientes na bebida estava escrita em chinês, e por isso ela não tinha muita certeza do que estava ingerindo. Os médicos não analisaram a composição química do produto, mas uma vez que ela deixou de consumi-lo, os sintomas – que incluíam icterícia, dores nas articulações e tonturas – melhoraram rapidamente.
10 – Desejos estranhos
Ter alguns desejos durante a gravidez é algo muito comum, no entanto, quando eles envolvem consumir um quilo de fermento em pó, as coisas começam a ficar mais estranhas. De acordo com um relatório publicado em 2013 pela revista Obstetrics and Gynecology, uma mulher desenvolveu graves problemas musculares e cardíacos após consumir o produto, comumente utilizado em misturas para a produção de massas.

Os médicos acreditavam que ela estivesse sofrendo de uma condição conhecida como “pica”, comum durante a gravidez, é caracterizada por desejo de itens não alimentares, como fermento em pó, argila e poeira. O fermento em pó comum é composto principalmente de bicarbonato de sódio, que, quando consumido em grandes quantidades, pode perturbar os processos metabólicos do corpo. Felizmente, os médicos foram capazes de induzir o parto e a mulher conseguiu dar à luz um bebê saudável.
11 – Dores de cabeça causadas por pornografia
Em um caso reportado em 2012 pela revista Archives of Sexual Behavior, um homem na Índia foi ao médico reclamando sentir dores de cabeça todas as vezes em que assistia pornografia. A dor, de acordo com ele, começava cinco minutos depois de começar o vídeo e atingia seu pico entre oito e 10 minutos.
De acordo com a neurologista Dr.ª Amy Gelfand, da Universidade da Califórnia, as dores de cabeça de cunho sexual são misteriosas e um tanto raras. Acredita-se apenas 1% da população mundial sofra da condição. A maioria delas costuma sentir dores intensas e repentinas no momento em que atingem o orgasmo. No entanto, o caso do indiano foi considerado incomum porque suas dores só apareciam enquanto assistia aos vídeos e não durante a masturbação ou atividade sexual.
Alguns médicos acreditam que as contrações musculares no pescoço e mandíbula possam desencadear as dores. Enquanto outros teorizam que os nervos ou vasos sanguíneos da cabeça se tornem excessivamente sensíveis à resposta sexual. Porém, até hoje a causa permanece um mistério.
12 – Overdose de molho de soja
Um rapaz de 19 anos, na Virginia, EUA, resolveu beber um litro de molho de soja para cumprir um desafio, de acordo com um relatório publicado no Journal of Emergency Medicine. Logo, ele começou a se contorcer e, em seguida, teve convulsões. Levado à um hospital, o rapaz ficou em coma por três dias. Os médicos o diagnosticaram como hipernatremia, quando os níveis de sal na corrente sanguínea ficam extremamente altos.

O excesso de sódio no sangue acaba puxando a água dos tecidos próximos, por um processo chamado de osmose, que visa igualar as concentrações de sal através das células. Logo, a hipernatremia pode acabar extraindo tanta água do cérebro que ele pode encolher e sangrar. Os médicos precisaram de 5,7 litros de água com açúcar para melhorar os níveis de sódio do corpo do rapaz. Surpreendentemente, ele sobreviveu ao incidente sem qualquer dano neurológico de longo prazo.
13 – Esôfago torcido
Uma senhora de 87 anos, na Suíça, procurou ajuda médica quando passou a experimentar espasmos dolorosos toda vez que engolia um alimento. Por meio de radiografias, os médicos descobriram que o esôfago da paciente se torcia como um saca-rolhas todas as vezes que tentava comer. A condição fez com que ela perdesse cerca de cinco quilos ao longo de alguns meses, de acordo com o relatório do caso, publicado em maio deste ano no New England Journal of Medicine.

Embora a condição seja estranha, ela não é completamente desconhecida pela Medicina. Acredita-se que espasmos musculares sejam os culpados para esse tipo de dor. Logo, ao invés de se contrair e relaxar, os músculos do esôfago da paciente simultaneamente se contraem. Não há curas disponíveis para a condição.
14 – Estrela no olho
Por vezes, a vida real faz jus às estranhezas vistas em desenhos animados. Em um caso reportado em abril deste ano pela New England Journal of Medicine, médicos contaram que, após levar um soco no rosto, um homem de 55 anos, na Áustria realmente acabou ficando com “estrelas nos olhos”.

O golpe foi tão forte que ondas de choque foram enviadas aos olhos, danificando a lente e causando uma catarata em forma de estrela em um dos olhos do austríaco. O fato é que, geralmente, tais formações parecem mais nuvens brancas, e não estrelas. Nestes casos, uma simples cirurgia pode restaurar a visão do paciente.
15 – Tumor peludo dentro dos olhos
O globo ocular, certamente, é um dos lugares que jamais imaginaríamos ter cabelos. No entanto, de acordo com um relato publicado em janeiro deste ano pelo New England Journal of Medicine, médicos afirmaram que um jovem iraniano sabia desde pequeno que tinha um tumor benigno no olho, localizado logo abaixo da pupila. Porém, quando o rapaz completou 19 anos, o crescimento já havia atingido uma espessura de 0,64 cm e, curiosamente, começou a desenvolver pelos.

Esse tipo de tumor não é tipicamente canceroso, podendo crescer sobre cartilagens, cabelos e até mesmo glândulas sudoríparas. Nem todos os casos requerem remoção, embora algumas pessoas o façam por razões estéticas. No caso do rapaz iraniano, o tumor peludo precisou ser cirurgicamente retirado.
16 – Tatuagem no pênis que levou à ereção permanente
De acordo com um relatório publicado em 2012 pelo Journal of Sexual Medicine, um rapaz de 21 anos, no Irã, pediu a um tatuador que desenhasse a letra M, relacionada ao sobrenome da namorada, seguida de uma frase em persa que dizia “Boa sorte em suas viagens”, em seu pênis.
No entanto, o jovem teria sentido dores por oito dias depois da realização da tatuagem antes de seu pênis se tornar permanentemente semiereto. Ele viveu com a condição por quase três meses antes de procurar ajuda médica. Os médicos tentaram inutilmente drenar o excesso de sangue do pênis, e logo começaram a planejar um outro tratamento. No entanto, o jovem o recusou, assumindo que estava bem com a condição.
17 – Overdose de refrigerante
Você já se perguntou como seria viver apenas de refrigerante por um longo tempo? De acordo com um relatório apresentado em uma reunião de médicos feita em Atenas, na Grécia, uma mulher em Mônaco, de 31 anos, realmente experimentou isso. Após 15 anos consumindo a bebida, ela foi levada às pressas a um hospital por passar mal. Exames revelaram que ela estava sofrendo com baixos níveis de potássio, batimentos cardíacos irregulares, mas não possuía nenhum problema hormonal ou problemas cardíacos em seu histórico familiar. No entanto, ela admitiu ter bebido 2 litros de refrigerante – e somente isso – todos os dias, desde que tinha 15 anos.
Os médicos lhe disseram que a bebida poderia sugar o excesso de água, causando diarreia e perda de potássio. As altas quantidades de cafeína também poderiam ter interferido na reabsorção do elemento. Baixos níveis de alguns minerais são conhecidos por causarem problemas de ritmo cardíaco, o que estava acontecendo com a mulher. Uma semana após se desassociar de seus hábitos, os batimentos cardíacos da mulher foram estabilizados.
18 – Palito de dente no fígado
Em um caso reportado em 2012 pela BMJ Case Reports, médicos contaram que uma mulher de 45 anos afirmou ter ficado gradualmente mais fraca ao longo de vários meses antes de ser internada em um hospital com crises de vômito e pressão baixa. A princípio, os médicos acreditaram que ela estivesse com uma infecção, mas uma série de exames revelou a existência de uma cavidade de 2,5 cm em seu fígado. Mais tarde, uma cirurgia mostrou que se tratava de um palito de dente. De alguma forma, após ser engolido, ele se moveu pelo trato digestivo até se alojar no fígado.
19 – Alucinações por doença ocular
Uma professora aposentada de 67 anos que vivia em Kentucky, EUA, estava prestes a pedir um exorcismo, pois começou a ver rostos oblongos com grandes dentes, olhos e olheiras em sua frente. De acordo com o relatório do caso, publicado em fevereiro pela revista Age and Aging, ela não sob efeito de drogas ou perdendo suas faculdades mentais. Ela afirmou que sabia que as alucinações não eram reais e que sequer conversava com e elas.

Descobriu-se que uma degeneração macular teria provocado uma condição chamada Síndrome de Charles Bonnet, que faz com que algumas pessoas que sofrem de doença ocular comecem a ver animais, rostos assustadores ou outras ilusões. “Quando [o cérebro] espera entrada sensorial e não recebe nada, muita das vezes cria sua própria entrada”, disse Dr. Bharat Kumar, da Universidade de Kentucky, que tratou o caso.
20 – Úlcera causada por gato
Em uma missão de resgate animal, uma adolescente holandesa de 17 anos foi deixada com uma ferida grande, preta e que confundiu os médicos.

Segundo o relatório publicado em setembro pela BMJ Case Reports, a menina teria resgatado um gato se afogando dentro de uma vala. Porque estava muito doente, o animal morreu no dia seguinte. Nos próximos dias, a adolescente acabou desenvolvendo um ferimento vermelho no pulso, que logo se tornou uma bolha para depois escurecer completamente. Ela também sentia dores terríveis e as protuberâncias em forma de bolhas começaram a se espalhar pelo braço até a axila.
Após tentarem curá-la com antibióticos, o que não funcionou, os médicos suspeitaram que a ferida teria sido causada pelo vírus da varíola bovina. A varíola bovina é considerada uma doença autolimitada, o que significa que geralmente não precisa de tratamento médico se o paciente possuir um sistema imunológico saudável. Neste caso, a menina foi tratada sem sucesso durante 13 dias por diferentes médicos até que, uma semana depois, melhorou sozinha e foi liberada.
21 – Generosidade patológica
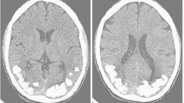
Um brasileiro de 49 anos, que sofreu a um acidente vascular cerebral, apresentou uma mudança de personalidade muito estranha após o incidente. De acordo com o relato do caso, publicado em agosto pela revista Neurocase, ele teria desenvolvido uma “generosidade patológica” e por isso, começou a distribuir dinheiro na rua e comprar doces para crianças alheias. Segundo sua esposa, ele tornou-se incapaz de administrar a vida financeira e estaria se endividando.

Aparentemente, o AVC que sofreu o deixou com uma “generosidade excessiva e persistente”. Os médicos chegaram a avaliar o paciente, mas não encontraram qualquer evidência de sintomas maníacos ou demência que pudessem explicar o caso. No entanto, uma tomografia computadorizada mostrou um baixo fluxo sanguíneo em várias regiões do cérebro, incluindo áreas no lobo frontal. Embora não estivessem danificadas pelo AVC, elas estão conectadas por caminhos neurais. Logo, danos nestes caminhos podem ter contribuído para a mudança de personalidade.
22 – Empatia excessiva
Em um caso publicado em agosto pela Neurocase, médicos relataram que uma paciente teria desenvolvido uma super empatia depois de ter a amídala removida, em um esforço para tratar uma forma grave de epilepsia.

Porque está envolvida no sistema de reconhecimento de emoções, retirar a amígdala pode fazer com que uma pessoa tenha mais dificuldade em analisar as emoções alheias. A mulher então relatou ter experimentado uma excitação emocional completamente nova, acompanhada de efeitos físicos, como coração acelerado ou sentimento esofágico desagradável quando ficava triste ou com raiva.
Os pesquisadores que avaliaram sua condição afirmaram que ela teria idos excepcionalmente bem testes padrões de habilidades empáticas. Eles concluíram então que, talvez, mesmo após a amígdala ter sido removida, outras regiões cerebrais e conexões recém-organizadas entre elas poderiam ter sido responsáveis por produzir a empatia em excesso.
23 – Balas de chumbo na barriga
Em mais um caso reportado pela New England Journal of Medicine, de agosto de 2016, médicos relataram que um menino australiano de oito anos esteve durante dois anos com altos níveis de chumbo no corpo, mas ninguém sabia explicar o porquê. Eventualmente, eles acabaram encontrando pellets de chumbo presos em seu apêndice.
Após ter experimentado fortes dores de barriga, ele acabou sendo internado em um hospital. Por meio de radiografias, os médicos descobriram um grande número de pequenos objetos redondos presos no trato digestivo. Eles imediatamente fizeram uma lavagem intestinal no garoto, mas os objetos sequer se moveram. Logo, um cenário impossível começou a ser considerado pelos médicos, de que os objetos estariam alojados no apêndice.
Após a remoção do órgão, os médicos descobriram que ele estava pesando cinco vezes a mais do que o normal e quando o abriram encontraram um total de 57 grânulos de chumbo alojados. Mais tarde, descobriu-se que o menino estaria caçando com uma arma que usava os pellets como balas, mas, enquanto fazia um jogo com os irmãos, acabou consumindo as bolinhas de chumbo.
24 – Infecção nos pelos das axilas
Médicos descobriram que um odor corporal irreprimível de um homem teria sido resultado de uma infecção bacteriana nos pelos das axilas. De acordo com o relatório do caso, publicado em outubro pelo New England Journal of Medicine, o paciente, de 40 anos, teria dito que o odor e a sujeira – uma substância amarela de aspecto cremoso – persistiam já há quatro anos.

Os médicos o diagnosticaram como tricomicose axilar, causada por uma bactéria chamada Corynebacterium tenuis. Os pelos foram depilados e a região tratada como cloreto de alumínio. O paciente também precisou tomar um antibiótico e a infecção desapareceu algumas semanas depois.
25 – Tratamento feito pelo mar
De acordo com um relato publicado em 2014 pela BMJ Case Reports, um surfista do Havaí teria apresentado um problema ocular que fazia um tecido fibroso crescer sobre a superfície de seu olho. Normalmente, para tratar esse tipo de condição, os médicos costumam cortar o tecido com uma tesoura.

No entanto, o surfista resolveu deixar a força da água assumir o caso, mergulhando a cabeça nela enquanto estava numa onda de 10 metros de altura. Aparentemente, a força contundente da água rasgou o tecido, mas, de acordo com os médicos, o surfista teve sorte em não ter o olho danificado.
26 – Pedras no cérebro
Um jovem brasileiro, que há 10 anos sofria com dores de cabeça e problemas de visão, descobriu ter um acúmulo de pedras cálcio em seu cérebro. Essas, provavelmente, eram resultado de uma complicação rara causada pela doença celíaca que possuía. Considerada autoimune, ao longo do tempo, a doença pode danificar o revestimento do intestino delgado e impedir que o corpo absorva nutrientes.

De acordo com o relatório do caso, publicado em 2014 pelo New England Journal of Medicine, não ficou claro como a doença resultou em calcificações no cérebro do paciente, mas eles suspeitam que sua baixa capacidade de absorver ferro possa ter desempenhado um papel fundamental.
27 – Delírios causados por glúten
Em um caso reportado em junho deste ano pelo New England Journal of Medicine, médicos contaram que uma mulher de 37 anos começou a sofrer delírios, incluindo a crença de que havia pessoas conspirando contra ela. Após ameaçar sua própria família, ela acabou sendo diagnosticada com um transtorno psicótico. Porém, os medicamentos que tomava fizeram pouco para controlar os sintomas.

Verificou-se também a presença de outros sintomas, incluindo perda de peso, deficiências de vitaminas e minerais, além de doença celíaca (quando o corpo também não consegue digerir o glúten). Supreendentemente, quando ela parou de comer alimentos com glúten, os delírios desapareceram. Os pesquisadores ainda tão têm certeza de por que a doença, às vezes, pode causar problemas no sistema nervoso. Alguns suspeitam que as células do sistema imunológico acabem combatendo o glúten no intestino como um verdadeira ameaça.
[ Live Science ] [ Fotos: Reprodução / Live Science ]